Липома на ноге

Образования, вырастающие под кожей, причиняют дискомфорт и провоцируют развитие комплексов, а липома на ноге может сковывать движения и нарушать привычный образ жизни. Жировики на ногах часто травмируются и сдавливаются одеждой или обувью, что приводит к их воспалению и развитию осложнений. Потому при возникновении подкожного нароста нужно обратиться к врачу для диагностики и показаний к лечению. …

В Германии создали функциональный суперфуд

В Германии выпустили органический горячий шоколад с функциональными грибами — ежовиком, рейши, чагой и кордицепсом.  Функциональными называют продукты, которые, помимо питательной ценности, обладают дополнительными полезными для здоровья свойствами. Так, кордицепс — это адаптоген, а чага — антиоксидант. Ежовик считается природным ноотропом, а рейши издревле называют «грибом бессмертия», нейтрализующим факторы старения. Какао полезно само по себе, …

Липома на лице

Один из неприятных косметических дефектов ― жировики на лице. Мелкие или крупные узелки располагаются в зонах с наиболее тонкой кожей. Они легко заметны, но чтобы избавиться от них, нужно приложить усилия. Если вовремя не заняться решением проблемы, то образования способны увеличиваться в размерах и сливаться воедино. Существует масса методов борьбы с липомами на лице, но …

Липома на животе

Жировик на животе — неприятное явление на человеческом теле. В медицине образование имеет название — брюшная липома. Не стоит пугаться, обнаружив такую неприятную находку на коже. Для борьбы с липомой применяют хирургическое, радиоволновое, лазерное удаление. Назначают препараты, которые помогают рассасываться образованию. Правильное применение народных средств облегчит протекание болезни. Чиряк может вырасти в любом месте тела, …

Липома на голове

У любого человека, независимо от возраста и пола может появиться жировик на голове, особенно если имеются определенные проблемы со здоровьем. Считается, что жировик не опасен, если не нарушать его целостность, но жировики, расположенные на голове легко травмировать при расчесывании. При возникновении липомы не стоит паниковать, но если она мешает или болит нужно обратиться к врачу. …

Липома на внутренних органах

Нарушение подкожного жирового обмена приводят к тому, что развиваются липомы, в том числе на внутренних органах. Может быть выявлена липома сердца, мозга, желудка, легких. Что делать, когда на внутренних органах образовалась липома, какие симптомы могут беспокоить человека, и что за лечение показано в случае, когда образование мешает внутренним органам нормально функционировать? Жировые нераковые образования могут …

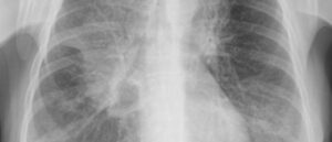
Липома легких

При появлении доброкачественной опухоли в легких, которая сопровождается быстрым ростом жировых тканей, диагностируется липома легкого. Это редкое заболевание, проявляющееся одинаково часто как у мужчин, так и у женщин. Больше всего недуг проявляется у молодых людей примерно в 30 лет. При этом новообразования медленно растут, и выявить их можно при проведении рентгенографии. Из-за чего развивается недуг, …

Липома в почке

Последнее время многих интересуют вопросы: что такое липома почки, при каких обстоятельствах она проявляется? Липома или, попросту, жировик почки представляет собой новообразование доброкачественного характера, которое состоит из жировых тканей. Несмотря на доброкачественный тип образования, сохраняется угроза серьезных осложнений и летального исходам, при несвоевременном лечении. Липома почки – жировое новообразование незлокачественной природы, которое, всё же, несёт …

Липома в головном мозге

К редким заболеваниям человеческого организма относится липома головного мозга. Такое новообразование может развиваться из жировых клеток, располагается в мозолистом теле головного мозга или в межполушарной щели. Развитие опухоли в первичной стадии не проявляет конкретных симптомов, не вызывает дискомфорт у человека и протекает без сильных болевых ощущений. Причины развития этого доброкачественного образования точно не установлены. Из-за …

Жировики на руках

Независимо от размера, жировик на руке не представляет никакой опасности, если не допустить его воспаления. Появление липомы сопровождается эстетическим дискомфортом и может мешать в повседневной жизни, если на шишку оказывается давление. Существует несколько безопасных методов устранения такого образования, но попытки самостоятельного удаления липомы приводят к серьезным осложнениям. Жировики на руках не несут большой опасности здоровью …