Ангиома в голове

Ангиома — доброкачественное образование, состоящее из кровеносных или лимфатических сосудов. Кавернозная ангиома (гемангиома) — сосудистая патология, чаще образующаяся врожденно либо проявляющаяся на протяжении жизни. Основа образования ангиом — патологическое разрастание кровяных и лимфатических сосудов. Чаще диагностируется заболевание у детей. Характерное отличие кавернозных патологий — интенсивный рост и расширение. Появляются образования на поверхностном эпидермальном слое и на слизистых мембранах внутренних органов. Диагностируют отклонение при помощи компьютерной и магнитно-резонансной томографии. Лечением в зависимости от локализации занимается нейрохирург или онколог. Опасное осложнение — кровотечение образования.

Ангиома в голове

Кавернозная ангиома – заболевание на сосудах, вследствие их расширения и скопления жидкости.

Что это такое?

Кавернозная гемангиома — сосудистое новообразование, которое носит доброкачественный характер. Патология состоит из кровеносных или лимфатических сосудов (лимфангиома). Чаще заболеванию подвержены дети, у которых сосудистая опухоль формируется внутриутробно в результате переплетения вен, артерий и капилляров. По характеру кавернозная опухоль — патологическая концентрация извилистых сосудов, которые аномально расширены, вследствие чего внутри происходит застой крови. Присутствие 3—4-х опухолей называют ангиоматоз. Ангиома головного мозга образуется у детей из-за недоразвитости кровеносной системы.

Размер патологических новообразований варьируется от миллиметра до 2—3-х сантиметров и более. В редких случаях поражаются обширные области. Состоит кавернозная патология из каверн (микрополостей), поверхность которых покрыта специфическими эндотелиальными клетками, а внутри застаивается плазма. Диагностируют отклонение у 1—2 человек из 200, и в 40% случаев протекает бессимптомно. В четверти случаев кавернома носит наследственный характер. Когда на поверхности кожи обнаруживают более 4-х образований, то назначается исследование, чтобы исключить наличие кавернозных образований на внутренних органах.

Ангиома в голове

Кавернозную ангиому чаще диагностируют в печени, мозге, позвоночнике, кожных покровах.

Типы и локализация

Клиническая картина заболевания зависит от локализации и размера формирования. Обнаруживают патологию на первом году жизни ребенка, а внутренние образования случайно находят в любом возрасте при плановых осмотрах. Проявляются симптомы тогда, когда сплетение сосудов сдавливает окружающие ткани и соседние органы. Формы заболевания и описание в зависимости от локализации представлены ниже в таблице.

Вид Характеристика
Кавернома печени Образуется патологическое образование на любом участке в печени, иссекается только хирургическим путем. Опасность состоит в том, что образование препятствует функционированию печени и окружающих органов. Представляет собой клубок собранных сосудов и чаще передается по наследству.
Кавернома позвоночника Доброкачественный тип кавернозной ангиомы, развитие которой сдавливает позвоночник. Иногда становится причиной перелома позвонков. Чаще формирование проходит бессимптомно до тех пор, пока не увеличится в объеме.
Кожная кавернома Врожденное образование, формирующееся внутриутробно. Проявляется на протяжении первого года жизни, реже сразу после родов. Представляет собой поверхностное скопление пульсирующих сосудов, заполненных кровью.
Каверномы головного мозга Патологические опухоли, представляющие собой сосудистые каверны внутри серого вещества. Делятся на каверномы ствола головного мозга, лобной доли и мозжечка. Кавернозные ангиомы, образующиеся в голове, склонны к росту и кровоизлиянию.

Ангиома в голове

Зарождение кавернозной ангиомы мозга сопровождается проблемами с психикой, речью, памятью, моторикой.

Формирования в головном мозге и симптомы проявления

Симптоматика кавернозных ангиом в головном мозге сведена в таблицу:

Локализация кавернозных ангиом в головном мозге Проявления
Лобная доля На поражение лобной доли приходится 25% от числа всех кавернозных образований. Формирование патологической опухоли сопровождается психическими отклонениями. У больного появляются проблемы с памятью и возникают самопроизвольные внезапные движения конечностей.
Правая лобная доля Главный симптом – избыток речевой активности. Больной периодически впадает в состояние аффекта и становится слишком эмоциональным. Возможны приступы неадекватности.
Левая лобная доля Формирование опухоли сопровождается нарушениями речи и проблемами с кратковременной памятью. Человек становится апатичным.
Левая височная доля Кавернома левой височной доли возникает в 10% случаев. Характеризуется ухудшением слуха и провалами в памяти, больной повторяет сказанные им предложения.
Правая височная доля Поражение правой височной доли проявляется дезориентацией. Пациент может не распознавать принадлежность знакомых звуков и голосов.
Теменная доля Отличительная черта кавернозной ангиомы теменной области – интеллектуальные нарушения, когда пациент не может решить простые математические расчеты и выстроить логические связи. На такие формирования приходится 20% патологий.
Ангиома мозжечка Около 8% образований формируются в мозжечке, поражение которого сопровождается самопроизвольными и внезапными движениями конечностей. Больной не способен уверенно перемещаться и правильно сидеть. Появляются судороги и нарушения речи.

Этиология и патогенез

Ангиома в голове

Кавернозная ангиома может возникнуть по причине гормонального или генетического сбоя, вследствие онкотерапии.

Точный механизм появления кавернозных ангиом медицинская наука все еще не изучила. Главная внешняя причина возникновения патологических новообразований — терапия ионным излучением для иссечения онкологических опухолей. Также одной из предположительных причин считают генную мутацию, которая случается еще внутриутробно при формировании плода. Но большинство врачей к основной причине формирования кавернозных опухолей относит нарушения формирования сосудистой системы плода, вирусные либо бактериальные заболевания матери в период беременности. Опасные последствия — закупорка сосудов из-за роста образования и сильное кровотечение вследствие нарушения целостности опухоли. Другие факторы, провоцирующие образование ангиом:

  • Беременность и периоды гормональных перестроек. Врачи описывают кавернозные образования в печени беременных, формирующиеся в результате избыточной выработки прогестерона.
  • Наследственный фактор. В случае формирования кавернозных ангиом у родителей существует 50% вероятности, что у ребенка обнаружат такие же опухоли.

Диагностические процедуры кавернозной ангиомы

Ангиома в голове

При кавернозной ангиоме больной сдаёт анализы крови и проходит аппаратное обследование.

  • Развернутый анализ крови. Обязательно присутствие таких параметров — содержание в крови спинномозговой жидкости, содержание лейкоцитов и уровень гемоглобина.
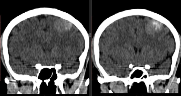
  • Компьютерная томография. Информативный метод диагностики, который дает двухмерные снимки сформированной внутри патологии.
  • Магнитно-резонансная томография. Метод визуализирует патологию в трехмерном изображении, при помощи магнитного и радиоволнового излучения.
  • Ангиография. Метод включает использование рентгена с введением контрастной жидкости, позволяющее оценить степень инвазии патологии во внутренние органы и увидеть характер поражений.
  • Электроэнцефалография. Метод диагностики кавернозных ангиом в головном мозге, оценивающий размер и расположение сосудистой опухоли.
  • Дифференциальная диагностика. Проводится, чтобы исключить формирование злокачественной опухли либо аневризмы.

Лечение патологии

Описаны случаи саморассасывания кавернозных формирований, происходящего из-за закупорки сосудов, из которых опухоль получает кровь. Из-за отсутствия поступления крови патология бледнеет и со временем исчезает. Маленьким каверномам также свойственно самоустранение. Рекомендуют удалять такие кавернозные ангиомы, которые стремительно увеличиваются, изъявляются, кровоточат и нарушают функционирование пораженного органа. Методы удаления:

  • лазерный;
  • диатермокоагуляционный;
  • склерозирующая терапия;
  • гормональный;
  • криодеструкционный;
  • хирургический.

Ангиома в голове

Для вспомогательного лечения кавернозной ангиомы применяют гомеопатические средства.

Медикаментозная терапия

Гомеопаты предлагают альтернативные методы лечения кавернозных ангиом при помощи гомеопатических препаратов, которые не характеризуются побочными эффектами и противопоказаниями. К гомеопатическим препаратам относят — «Ангиосан», «Церебралик» и «Аурум +». Прием препаратов согласовывается с врачом после проведения инструментальной диагностики. Следует отметить, что традиционная медицина скептически относится к гомеопатическим методам лечения.

Операция, как метод удаления

  • Хирургическое вмешательство. Операция по удалению патологии проводится под общим либо местным наркозом в зависимости от локализации. Хирург полностью удаляет аномальные сосудистые образования. Противопоказания к операции — возраст старше 70-ти лет и множественные формирования.
  • Радиохирургический метод. Операция проводится с применением кибер-ножа, который воздействует нацеленным лучом на опухоль. Назначается в случае труднодоступного образования.

Возможные осложнения

Благоприятный исход при кавернозной патологии возможен при вовремя диагностированном заболевании до момента разрыва сосуда. Кровоизлияние — опасное осложнение, особенно при локализации ангиомы в стволе головного мозга. Также формирование на внутренних органах провоцирует дисфункцию органа и иногда провоцирует состояние комы. После проведения операции по удалению образования человек избавляется от симптомов и ведет нормальный образ жизни.

Источник

Добавить комментарий

Ваш адрес email не будет опубликован. Обязательные поля помечены *