Хондромиксоидные фибромы

Опухолевое новообразование может поражать хрящевую ткань в разных отделах трубчатых костей скелета человека. Хондромиксоидная фиброма — так в медицине называется такая хрящевая опухоль. Фиброму, состоящую из хрящевой ткани, можно встретить нечасто, но она способна поражать людей любого возраста и пола. В большинстве случаев начальная стадия ее развития протекает бессимптомно. С ростом появляется угроза дальнейшего злокачественного перерождения. Хондромиксоидная фиброма в обязательном порядке подлежит хирургическому удалению.

Хондромиксоидные фибромы

Хондромиксоидная фиброма – хрящевая незлокачественная опухоль около костей человека.

Механизм зарождения и развития болезни

Опухоль имеет четко ограниченные границы, дольчатое строение, обладает плотноэластичной консистенцией, покрыта упругой фиброзной тканью — капсулой. Фиброма похожа на хрящевую ткань, отделенную от кости, меняющую свой цвет от серовато-белого до синюшно-серого. Дольчатое строение обуславливается наличием долек неодинаковой формы, состоящих из веретеновидных и звездчатых клеток, между которыми проходят сосуды. В ней видны кистозные полосы, которые содержат слизь. Фиброзные изменения наблюдаются между плавно переходящими один в другой хрящевыми и миксоидными участками. Консистенция опухоли включает в себя очаги обызвествления и сегменты размягчения. В единичных случаях возможно распространение опухолевой ткани в окружающие мягкие ткани. Строение хондромиксоидной фибромы зависит от места ее локализации.

Распространенным местом расположения хондромиксоидной фибромы являются вытянутые трубчатые кости ног. Такая опухоль занимает 0,5—1% от всех костных опухолей.

Место локации хондромиксоидной фибромы

  • нижний конец большеберцовой кости;
  • лучевые, метатарзальные, пяточные кости;
  • ребра;
  • длинные трубчатые плечевые и тазобедренные кости;
  • область позвоночника;
  • кости черепа;
  • мелкие кости кистей или стоп.

Хондромиксоидные фибромы

Хондромиксоидная фиброма произрастает около трубчатых или черепных костей.

Причины появления хондромиксоидных образований полностью не установлены. На их возникновение могут повлиять как процессы внутри организма, так и внешнее воздействие негативных факторов на организм. Появление островоспалительных процессов в человеческом организме, различных травм, неблагоприятная экологическая обстановка, влияние ядовитых веществ на организм способствует развитию хрящевой фибромы.

Симптомы заболевания

Возраст заболевшего человека играет основную роль в появлении типичной симптоматики. Очень медленно без существенных болевых ощущений протекает болезнь у взрослых людей. Для детей свойственен быстрый рост фибромы, появление клинических признаков и сильных болевых ощущений в месте локации образования. Симптомы хондромиксоидной опухоли соответствуют стадии развития болезни. В таблице сведены основные признаки недуга при различных стадиях развития:

Стадия Проявления
Начальная Боль незначительная, слабая, стертая, недолговременная. Походка человека не нарушается.
Развитие Боль усиливается во время движения, но может приносить беспокойство и в покое. Появляется припухлость, которая не затрагивает близлежащие суставы. Возможно местное повышение температуры.
Запущенная Появляется атрофия мышц больной конечности, сильная боль при любых движениях, ограничивается функционирование мышц в близлежащем суставе. Происходит нарушение походки человека. Возможно злокачественное перерождение.

Хондромиксоидные фибромы

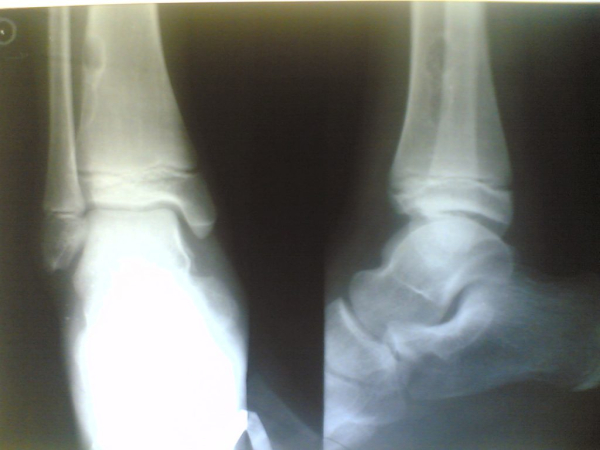
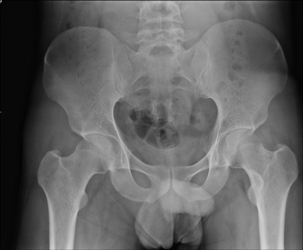
При хондромиксоидной фиброме пациент сдает анализ крови и проходит рентгенографию.

Диагностика заболевания

При появлении симптомов, характерных для развития хондромиксоидного образования необходимо обратиться к врачу — онкологу. Для выявления описываемого заболевания существуют различные методы диагностики. В первую очередь онколог проведет внешний осмотр пораженного участка, назначит развернутый анализ крови и рентген.

Рентгенография определит очаг деструкции. Размер такой области 5—8 см в длину. Хондромиксоидное образование на снимках выглядит как зона просветления с четкими очертаниями зоны поражения, вокруг нее присутствует склеротический ободок. Корковый слой над источником поражения может быть разбухший и истонченный. Если опухоль образовалась в области позвоночника, возможно прорастание надкостницы. Для более точного диагноза онколог проведет ряд дополнительных обследований, которые могут включать биопсию тканевых участков опухоли и иммуногистохимическое исследование. Суть метода иммуногистохимического исследования заключается в идентификации специфичных антигенных свойств злокачественных опухолей. По результатам диагностики определяют структуру опухоли и присутствие в ней раковых клеток.

Хондромиксоидные фибромы

В целях предотвращения перехода в онкологию, хондромиксоидную фиброму нужно удалять хирургическим путём.

Лечение хондромиксоидной фибромы

Для предотвращения рецидивов и злокачественного перерождения все хондромиксоидные фибромы подлежат хирургическому удалению. Такие операции производят в онкологических отделениях под общим наркозом. Эффективными методами оперативного вмешательства являются операции выскабливания (кюретаж) или резекция опухоли в пределах здоровых тканей кости.

Метод Суть операции
Кюретаж Опухоль выскабливают кюреткой ― специальным хирургическим инструментом, напоминающим ложку. Недостатком такой операции является вероятность пропуска пораженных опухолевых клеток, что способствует развитию рецидива.
Резекция опухоли Удаляют опухоль и склеротический «ободок» вокруг пораженного участка. После удаления проводят пластику дефектов с использованием аллотрансплантантов. После такой операции риск появления рецидива минимален.

В первые два года после операции рецидивы возникают у 10—15% пациентов.

Существует вероятность превращения такой фибромы в злокачественную опухоль. Сложность диагностики возникает только при отделении доброкачественной хрящевой опухоли от злокачественной. Онкологи рекомендуют не использовать лучевую терапию для удаления образования, так как она малоэффективна и может способствовать перерождению опухоли в раковое заболевание. При обращении к врачу на ранних стадиях прогноз на полное выздоровление всегда положительный.

Источник

Добавить комментарий

Ваш адрес email не будет опубликован. Обязательные поля помечены *