Такой неприятный дефект, как костный нарост, может появляться на любой части тела человека. Его развитие чаще всего наблюдается у детей и подростков, когда их костная ткань и суставы развиваются с особой интенсивностью. Доброкачественные костные наросты могут образовываться на любом участке кости, даже не проявляя никаких симптомов. Однако, когда они находятся близко от нерва и пережимают его, то возникает боль, движения становятся скованными. Нередко это ведет к деформации кости. Хрящевые или костные наросты возникают у человека по ряду причин.

Появление уплотнений на костях у человека является причиной неудобного образа жизни или труда.
Причины заболевания
Могут появиться:
- во время восстановительного процесса после полученных травм;
- вследствие ушиба или удара;
- при воспалительных процессах в слизистых сумках;
- при остеопорозе, когда идет нагрузка на хрящи;
- если есть хронические воспалительные процессы в костях;
- вследствие асептического некроза;
- при нарушении функциональности эндокринной системы;
- при разрыве связок в месте их прикрепления;
- как осложнение при незлокачественных образованиях;
- после некоторых операций.
Классификация и локализация
Чаще всего врачи диагностируют кожный вырост (экзостоз) в шейной зоне (плечевой сустав и на ключице), на бедренной и берцовой кости, на лопатке. Образование может развиться на обеих лопатках. Реже случаются костяные наросты на кистях рук и ступнях. В клинической практике не встречаются наросты на голове или черепе. Если новообразования появляются на позвоночнике, то они способны привести к сжатию спинного мозга при отсутствии должного лечения.

Чаще всего наросты появляются на костях рук и ног.
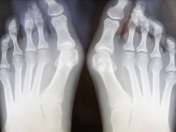
Косточки на большом пальце ноги — очень распространенная проблема деформации ступни с неэстетичным внешним видом. Согласно исследованиям, 98% страдающих наростами больших пальцев ног — женщины. Почему начинается рост новообразования на косточке большого пальца ноги? Нарост на пальце ноги сбоку имеет медицинский термин — вальгусная деформация первого пальца стопы. Недуг на пальцах возникает вследствие неправильного распределения давления на сухожилия при плоскостопии. Нарост на пальце иногда принимают за болезнь, которая называется подагра. Но подагра имеет другую природу происхождения (отложение солей в суставах), и в основном она встречается у мужского пола. Часто подагра встречается на подъеме стопы, где сходятся малая и большая берцовая кость.
Нарост на кости пальцев рук — тоже очень широко распространенная проблема. Он появляется чаще всего у женщин разного возраста. В медицинской терминологии костяной нарост на руке имеет название синовиальная кость или гигрома. Новообразования внешне похожи на шишки, внутри которых скапливается густая жидкость. Могут возникать вследствие полученных травм, при артрите и наследственной предрасположенности.
Симптомы и диагностика наростов на костях

Наиболее оправдана аппаратная диагностика наростов на костях.
Экзостоз можно выявить во время осмотра и ощупывания подозрительных участков на стопе, голени, руке, ключицах. Недуг развивается постепенно и может никак себя не проявлять в течение долгого времени. Болевые ощущения могут появиться лишь тогда, когда нарост будет давить на ближайший сосуд или нерв. Иногда костяные и хрящевые наросты обнаруживаются случайно, во время рентгена. Рентгеновское обследование дает развернутую информацию о виде и форме нароста, о его размерах степени развития. Нужно помнить, что на снимке рентгена хрящевой ткани новообразования не видно. Из-за этого нарост на фото всегда меньше, нежели в реальности.
У ребенка наросты на теле — что делать?
У детей появление болезни на любой из костей спровоцировано опухолевой природой новообразования. Для ребенка характерно отсутствие других причин заболевания — частых механических ударов или запущенных травм. У детей классифицируют заболевания врожденного характера:
| Название | Классификация | ||||||||||||||||||||||||||||||||||||||
| Остеома | Состоит из костного материала, располагается в зоне трубчатых костей. Недуг никак себя не проявляет, лишь во время ощупывания чувствуется небольшой горбик под кожей, который соединен с костной тканью. В основном такие наросты являются нормой при развитии скелета ребенка и в будущем не принесут больших проблем в росте и развитии организма. | ||||||||||||||||||||||||||||||||||||||
| Остеохондрома | Проявляется наростами в районе суставов. У детей происходит интенсивное развитие костной ткани, поэтому проявления заболевания пока не столь заметны. Но если начинает образовываться опухоль, то деформация становится заметной. Остеохондрома на ногах в районе коленного сустава искривляет четырехглавую мышцу бедра, а давление нароста на кость может спровоцировать перелом. Может образоваться ложный сустав в основании костного нароста. | ||||||||||||||||||||||||||||||||||||||
Лечение экзостоза
Если экзостоз небольшого размера и не увеличивается с годами, не причиняет дискомфорта, то за ним просто наблюдают в течение нужного периода времени. Лечение в таком случае необязательно. Нужно не забывать, что любые физиопроцедуры опасны на местах, где появился нарост. Такое воздействие может привести к развитию раковых клеток в наросте. Если шишки быстро развиваются и причиняют дискомфорт в повседневной жизни, влияют на самооценку за счет своего неэстетического вида, то их необходимо удалить в ходе операции. Bo время хирургического вмешательства нужно убрать не только само новообразование, но и на костную ткань, чтобы избежать рецидива в будущем.
Консервативное лечение
Если, к примеру, нарост сформировался при ударе, и пациент жалуется на периодические неприятные болезненные ощущения, то врач может предложить терапию медикаментами и терапевтическими процедурами. Из лекарств часто прописывают нестероидные препараты в любом виде (мази, уколы, таблетки). Такие средства эффективно убирают воспалительные процессы внутри костного образования, снимают болевой синдром. В комплексе с терапией медикаментами, как правило, идут физиопроцедуры в виде физкультуры, массажа, лазерной коррекции, электрофореза. Эти способы заметно улучшают процессы метаболизма в окружающих нарост тканях, которые были повреждены в течение продолжительного времени.
Диета и профилактика
Диета при экзостозе должна быть разнообразной, обогащенной витаминами и полезными веществами. Это поможет уменьшить риск переломов и воспалений на проблемных участках кости. Врачи советуют увеличить в рационе количество молочных и кисломолочных продуктов, рыбы (в особенности тунца, красных сортов рыбы, минтая). Очень полезна зелень, овощи, такие как перец, томаты, свекла, капуста, и обязательно фрукты и ягоды (которые содержат витамин С в больших количествах), орехи, цельнозерновой хлеб, растительное масло в умеренных количествах. Если при экзостозе случился перелом, рекомендуется пить сок из моркови, отвары из пшеницы.

Вылечить и предотвратить наросты на костях поможет диета или лечебное голодание.
Есть ряд продуктов, которые не рекомендуют употреблять при этом недуге:
- острые сыры, селедка, консервированные и копченые продукты, мясо диких животных, бульоны на рыбе или грибах, субпродукты;
- бобы, малина, брусника;
- острые и жгучие специи и кислая зелень;
- кофе, чай крепко заваренный;
- голодание.
Профилактика
Диетологи из США, кроме лекарственной терапии, диеты и процедур, советуют придерживаться правил для профилактики подагры и экзостоза. Американские диетологи рекомендуют пить 2−3 литра воды в день (помимо других напитков). Необходимо исключить из рациона сладкие газированные напитки. Алкоголь употреблять категорически не рекомендуется. Если же пациенту тяжело отказаться от бутылки пива по выходным, то об этом лучше посоветоваться с врачом. Если подагра уже существует, алкоголь только ухудшит состояние больного. Если заболевания нет, алкоголь может повысить риск его развития (особенно, у мужчин). Нужно поддерживать вес в пределах нормы, заниматься физкультурой и вести здоровый образ жизни вообще.