Наросты на языке

Если у человека появились непонятные наросты на корне языка или других частях органа, стоит немедленно посетить лора, поскольку такие новообразования могут говорить о проблемах со здоровьем, развитии скрытых заболеваний. Рассмотрим, что за наросты возникают на и под языком, каковы причины развития патологии, и самое главное, какое лечение поможет избавиться от проблемы. Наросты на языке могут …

Повышенная сонливость в 80 лет оказалась связана с деменцией

Это недавно обнаружили учёные Исследование, проведённое доктором наук Юэ Ленгом и Сашей Милтон, отслеживало режим сна 733 пожилых женщин. Средний возраст участниц составлял 83 года. Специалисты хотели выяснить, связаны ли определённые изменения сна с риском деменции. © McKnight's Long-Term Care News Пять лет спустя, в конце проведения нового исследования, у 13% участниц развилась деменция. Из них стабильный режим сна был у 25 человек …

Онлайн-институт для профессиональных психологов: новые возможности для роста

Профессия психолога требует постоянного развития и обучения. Новые методики, исследования и подходы появляются регулярно, и чтобы оставаться востребованным специалистом, важно быть в курсе последних тенденций. Онлайн-институт для профессиональных психологов — это удобный и эффективный способ получить новые знания и навыки, не выходя из дома. Если вы хотите узнать подробнее о том, как онлайн-обучение может помочь …

Пембролизумаб улучшал выживаемость без прогрессирования при раке шейки матки

Спустя 36 месяцев пембролизумаб в сочетании с химиолучевой терапией продемонстрировал преимущество в выживаемости без прогрессирования у пациентов с местнораспространенным раком шейки матки. Комбинированное лечение также показало управляемый профиль безопасности. Фото: 123rf.com Ученые из Университета Вирджинии оценили эффективность пембролизумаба в комбинации с химиолучевой терапией при лечении местнораспространенного рака шейки матки. Результаты исследования KEYNOTE-A18 представлены на Европейском …

Наросты на пятке

Из-за постоянных нагрузок на ноги и популярности красивой, но неудобной обуви, становится актуальным вопрос: «Как убрать наросты на пятках»? Шишки на пятках смогут сформироваться у человека в любом возрасте, даже у ребенка. Для правильного решения проблемы необходима диагностика, так как существует несколько патологий, проявляющихся подобным образом. Люди с активным образом жизни или трудящиеся подвержены к …

Наросты на почке

Опухолевый процесс в почках — это аномальное разрастание тканей, что влечет за собой нарушение работы органа. Опухоли дифференцируют на доброкачественные (фиброма почки) и злокачественные (саркома). Согласно статистике, самой распространенной опухолью является аденокарцинома. Попробуем разобраться в причинах появления патологических процессов, характерных симптомах, лечении и профилактических мероприятиях. Новообразования почки могут вырастать по разным причинам и нести разную …

Наросты на ногтевой пластине

Источником эстетического дискомфорта и неприятных болезненных ощущений человека является нарост на ногте. Это образование на ногтевой пластине подтверждает наличие грибкового заболевания в организме человека. Наросты в основном появляются на ногах, но могут поражать и руки. Если при их появлении возникает покраснение и боль, это свидетельствует о воспалительном процессе, и возможном нарыве. Такие образования лучше определить …

Наросты на коже

Злокачественные и доброкачественные новообразования на коже появляются в результате сбоя процесса деления клеток эпителия. Если на теле у человека бесконтрольно возникают новые образования, пусть по внешнему виду и похожие на родинки, стоит обратить на это внимание и посетить врача. Рассмотрим, какие существуют разновидности доброкачественных и злокачественных новообразований у детей и взрослых, как определить патологию, какое …

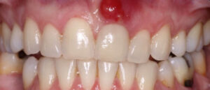
Наросты на десне

Каждый нарост на десне обязан послужить поводом немедленно обратится за помощью к профессионалу. Подобный патологический процесс может указывать на серьезную аномалию, и привести к необратимым последствиям не только во рту, но и во всем организме. Образование говорит о длительном воспалительном или инфекционном процессе в организме. Вырост на деснах у женщин образовывается в 3 раза чаще, …

Наросты на глазах

Появившийся на белке глаза бугорок называют пингвекулой, образование на роговице плевы треугольной формы — птеригиум. Оба заболевания относятся к доброкачественным изменениям глаз. Белые или желтоватые наросты на белках — распространенное преимущественно среди пожилых людей заболевание, свидетельствующее о старении конъюнктивы. Встречаются случаи перерастания пингвекулы в птеригиум. Пингвекула чаще всего возникает на двух глазах одновременно. Белый нарост …