Нарост на половом члене

Спровоцировать у мужчины наросты на члене способны многие факторы. Образования могут сформироваться не только на половом члене, но нередко наблюдаются локализованные наросты ― на уздечке, головке, крайней плоти. На возникновение кондилом влияет папиллома вирус человека. Для наростов на коже полового члена достаточно малейшего послабления местного иммунитета, утратившего защитные функции. Появление нароста на половом члене может …

Нарост на кости

Такой неприятный дефект, как костный нарост, может появляться на любой части тела человека. Его развитие чаще всего наблюдается у детей и подростков, когда их костная ткань и суставы развиваются с особой интенсивностью. Доброкачественные костные наросты могут образовываться на любом участке кости, даже не проявляя никаких симптомов. Однако, когда они находятся близко от нерва и пережимают …

Нарост в области шеи

Появившийся нарост на шее может вызывать много страхов и неуверенность в себе. Эта проблема приносит много дискомфорта в повседневной жизни, независимо от вида и причин ее возникновения. Как правило, такое новообразование в шейном отделе неопасно, но если долго игнорировать некоторые симптомы, то вполне вероятно, что можно пропустить начало процесса перерождения опухоли в злокачественную. Нарост в …

Методы удаления новообразований

Наличие на коже наростов и образований приносит их обладателям дискомфорт. Поэтому рекомендуется удаление новообразований с косметической целью и для сохранения здоровья и жизни человеку. Доброкачественные образования не несут вреда, кроме как портят эстетический вид или, если в дальнейшем есть вероятность перерождения в злокачественное. Злокачественные — вредят здоровью и могут стоить жизни человеку, если вовремя не …

Злокачественные новообразования глаза

Ухудшения зрения провоцируют злокачественные новообразования глаз. Проявляются в виде узелковых уплотнений в любом месте органа зрения или близлежащих зонах. Нераспространенное заболевание, но количество пораженных им людей увеличивается. Четкой причины появления медициной не установлено. В зоне риска люди с наследственной предрасположенностью. Игнорирование недуга в зоне хориоидеи (сосудистой оболочки глаза) может повлечь потерю зрения. Диагностируется с применением …

Болезненный нарост на ноге

Такая неприятность, как наросты на ногах, может приносить сильный дискомфорт и боль. Кожные наросты имеют различную природу происхождения и, как правило, избавиться от них можно различными методами, как медикаментозными, так и народными. Чаще всего причиной является неправильно подобранная обувь или патологические процессы в организме. Наросты на ногах могут быть результатом неудобной обуви или чрезмерных нагрузок, …

Хирургическое лечение гигромы

Гигрома — доброкачественное новообразование, которое на начальных стадиях не мешает, не болит, не вызывает осложнений. Удаление гигромы становится необходимым, когда она начинает интенсивно расти, причиняя не только эстетический дискомфорт, но и физический. Этот вид опухоли не перерождается в злокачественную форму. Для гигромы характерно как молниеносное увеличение в диаметре (несколько дней), так и довольно длительное (несколько …

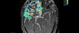
Субдуральная гигрома

Травмы головы, даже средние по тяжести, могут провоцировать образование, называющееся гигрома головного мозга. Это доброкачественная опухоль, состоящая из серозной жидкости, слизи и белка. И если гигрома на ноге или руке не несет в себе опасности для жизни, то новообразования в головном мозге чреваты серьезными осложнениями. Поэтому при ухудшении самочувствия следует немедленно обращаться за медицинской помощью …

175 освобожденных из украинского плена российских военных вернулись на Родину

«Вернулся, живой», — сказать главные слова самым родным людям смогли 175 российских бойцов, которые возвращены из украинского плена. Столько же человек переданы Киеву. И еще дополнительно 22 тяжелораненых солдата ВСУ: жест доброй воли со стороны Москвы. Обмен, о котором Владимир Путин говорил Дональду Трампу в телефонном разговоре. Содействие оказали Объединенные Арабские Эмираты. Александр Лякин о …

Может ли гигрома пройти сама?

Так как гигрома зачастую бессимптомное заболевание, у пациентов возникает вопрос о том, может ли гигрома пройти сама? Вначале болезнь воспринимается как косметический дефект, но со временем вызывает физический дискомфорт. Иногда опухолевидное образование оказывает влияние на качество жизни, заставляя изменить привычную работу или пересмотреть пристрастия в спорте. Гигрома в некоторых случая может рассосаться без целенаправленных терапевтических …